審美治療
当院が行う
「患者さまにとっての
美しさと健康を再現する
審美治療」
セラミック治療やホワイトニングにおいて白さだけに焦点を当てていると、本当に大切なものを見逃してしまいます。
本当に大切なもの、それは「健康」と「その人らしい美しさ」だと当院は考えます。
- むし歯・歯周病になりにくい素材(セラミック)の使用
- 噛み合わせを考えたクラウン、インレーの形成
- 自然な調和を大切にした白さの調節
これらを実践し「患者さまにとっての美しさと健康」の再現に努めます。都島で審美治療なら当院にお任せください。
セラミック治療の
メリット・デメリット

審美治療では、セラミックという素材がよく使われます。
セラミック製の歯は白いため、銀歯と違って口を開けても目立たず、美しい仕上がりになります。お子さまや女性の方には、特にうれしい素材といえるでしょう。
また、汚れが付着しにくいため、接着面が壊れて雑菌が入るようなトラブルが起きにくく、むし歯や歯周病を引き起こす原因になることもありません。
当院のセラミックは、「セラミスト」と呼ばれる熟練の技工士が製作しています。
セラミック治療の
メリット
- 希望に近い白さが再現できる
- 金属アレルギーの心配がない
- プラークや汚れが付着しにくい
- 接着面が壊れて雑菌が入らない
- 噛み合わせの歯を傷付けない
セラミック治療の
デメリット
セラミックは非常に強い力や衝撃が加わると割れる場合があります。とはいえ、現実的には日常生活でセラミックが割れることはほとんどありません。
また、万が一の場合でも、当院のセラミックには5年間の保証期間が設定されているので安心です。
セラミック治療は自費治療なのでコストがかかりますが、その金額以上の価値があると当院では考えます。
セラミックインレーの
メリット・デメリット

セラミックでつくられたインレー(歯の詰め物)が、セラミックインレーです。
セラミックインレーは白いため、銀歯と違って口を開けても目立たず、美しい仕上がりになります。お子さまや女性の方には、特にうれしい素材といえるでしょう。
また、汚れが付着しにくいため、接着面が壊れて雑菌が入るようなトラブルが起きにくく、むし歯や歯周病を引き起こす原因になることもありません。
当院のセラミックは、「セラミスト」と呼ばれる熟練の技工士が製作しております。
セラミックインレーの
メリット
- 希望に近い白さが再現できる
- 金属アレルギーの心配がない
- プラークや汚れが付着しにくい
- 接着面が壊れて雑菌が入らない
- 噛み合わせの歯を傷付けない
セラミックインレーの
デメリット
セラミックは非常に強い力や衝撃が加わると、割れる場合があります。とはいえ、現実的に日常生活でセラミックが割れることはほとんどありません。
また、万が一の場合でも、当院のセラミックには5年間の保証期間が設定されているので安心です。
セラミックインレーは自費治療なのでコストがかかりますが、その金額以上の価値があると当院では考えます。
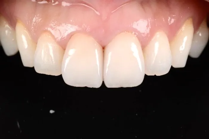
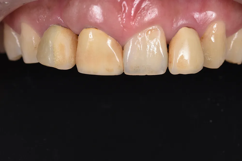
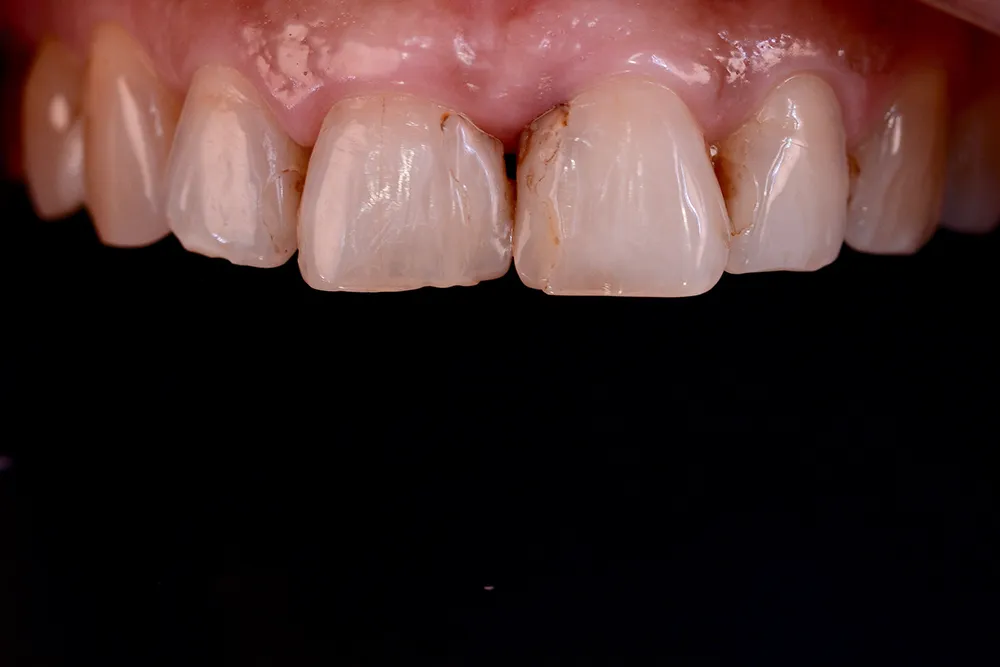
■術前

- ■術前

■術前

■術前

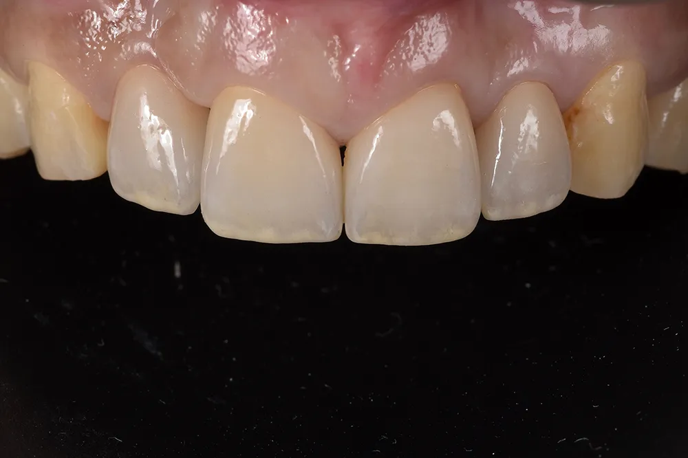
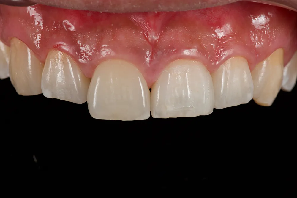
■術後

- ■術後

■術後

- ■術後

ラミネートべニアの
メリット・デメリット

ラミネートべニアは、前歯に薄く加工したセラミックを貼り付ける審美治療です。
短期間ですきっ歯を詰める、歯の色のバランスをとる、前歯の形を整えることが出来ます。
当院では熟練の技工士に依頼しているので歯の削る量をできるだけ少なくし、自然な美しい歯に仕上げるよう心掛けております。
ラミネートべニアの
メリット
- 通院回数が少なく短期間で歯の形や色を整えることができる
- 「前歯4本だけ整えたい」などの部分的な治療が可能
- 金属アレルギーの心配がない
ラミネートべニアの
デメリット
ラミネートべニアは割れやすいというデメリットもありますが、当院のラミネートべニアには5年間の保証期間が設定されているので安心です。
また、ラミネートベニアは自費治療になります。
ラミネートべニアの症例
■術前

- ■術後

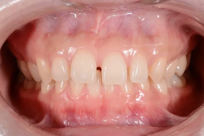
| 主訴 | すきっ歯が気になる |
|---|---|
| 年齢・性別 | 20代 女性 |
| 症状 | なし |
| 治療方針 | ラミネートべニアによるすきっ歯の改善 |
| 治療装置 | ラミネートべニア6本 |
| 治療回数 | 2回 |
| 治療費用 | 792,000円(税込) |
■術前

- ■術前

■術後

- ■術後

| 主訴 | ラミネートべニアのやりかえ |
|---|---|
| 年齢・性別 | 40代女性 |
| 症状 | セラミックの色の変化 |
| 治療方針 | ラミネートべニアのやり替え |
| 治療装置 | ラミネートべニア |
| 治療回数 | 2回 |
| 治療費用 | 132,000円(税込) |
| 代表的な副作用 | 仮歯の脱離 セラミックの脱離 |
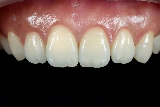
■術前

- ■術後

| 主訴 | 前歯の形が気になる |
|---|---|
| 年齢・性別 | 30代女性 |
| 症状 | なし |
| 治療方針 | ラミネートべニアによる翼状捻転の改善 |
| 治療装置 | ラミネートべニア2本 |
| 治療回数 | 3回 |
| 治療費用 | 264,000円(税込) |
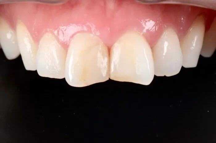
■術前

- ■術後

| 主訴 | 前歯の被せ物のやりかえ |
|---|---|
| 年齢 | 20代 |
| 治療方針 | セラミックによる審美性の改善 |
| 治療装置 | オールセラミック3本、ラミネートべニア1本 |
| 治療回数 | 4回 |
| 治療費用 | 700,000円(税込) |
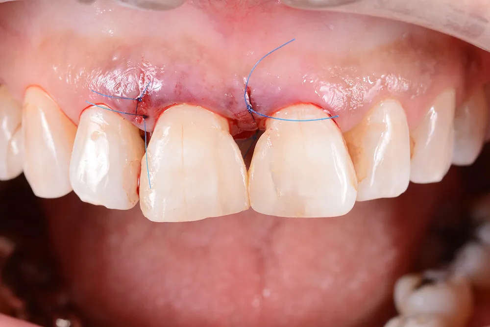
■術前

- ■術前

■術中

■術後

- ■術後

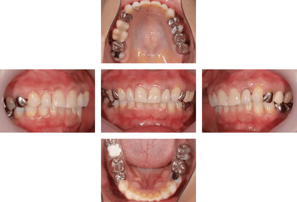
| 主訴 | 隙間が気になる |
|---|---|
| 年齢 | 30代 |
| 治療方針 | セラミックと矯正治療による審美性の改善 |
| 治療装置 | ラミネートべニア6本 部分矯正 |
| 治療回数 | 15回 |
| 治療費用 | 792,000円(税込) |
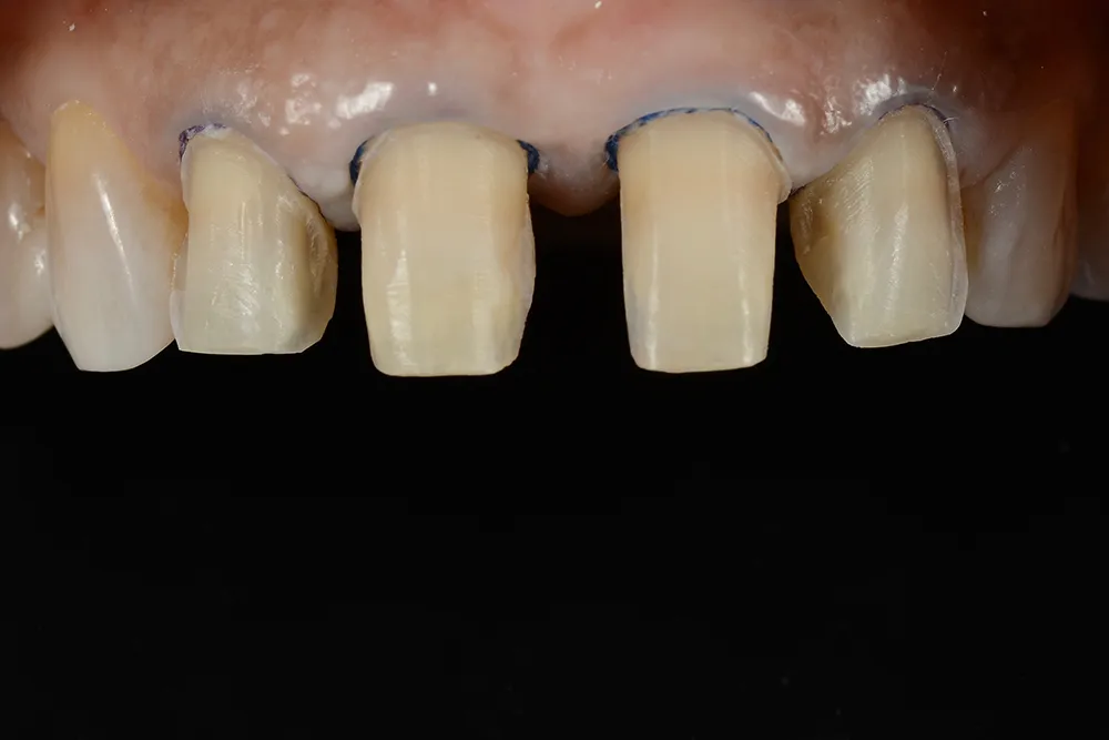
■術前

■術中

■術中

■術後

| 主訴 | 前歯の審美性の改善 |
|---|---|
| 年齢 | 50代 |
| 治療方針 | セラミックによる審美性の改善 |
| 治療装置 | ラミネートべニア4本、クラウンレングスニング前歯 |
| 治療回数 | 8回 |
| 治療費用 | 561,000円(税込) |
金属アレルギーとは
身体に接触している金属から溶け出した金属イオンを原因とし、体内でアレルゲンとなって顔や手足でかぶれ・湿疹などの炎症を起こします。
歯科治療で使用する金属は、簡単に取り外せるものではありません。また、これまで金属アレルギーでなかった方が、ある日急に発症するのも珍しいことではありません。
セラミックのみを使用する治療には、これらのリスクがありません。むし歯や歯周病の予防効果、噛み合う歯を傷付けない硬度といった点からも、セラミックは美しいだけでなく、お口と身体にも優しい、非常に優れた素材といえます。
金属アレルギーでお悩みの方、不安のある方は一度都島で駅近の当歯科クリニックまでご相談ください。
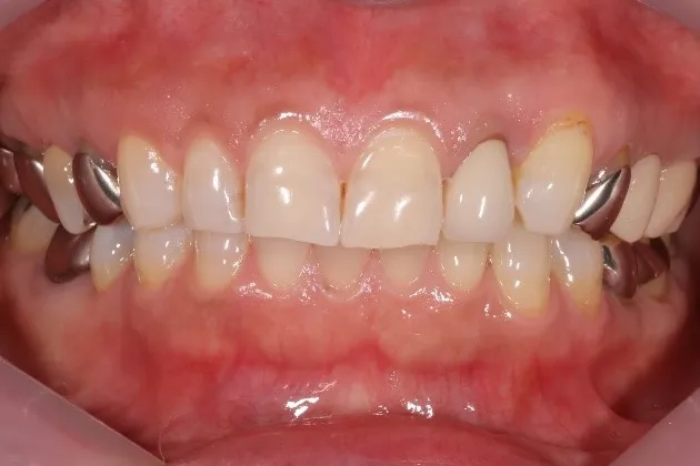
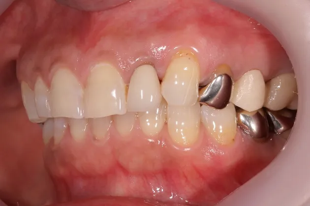
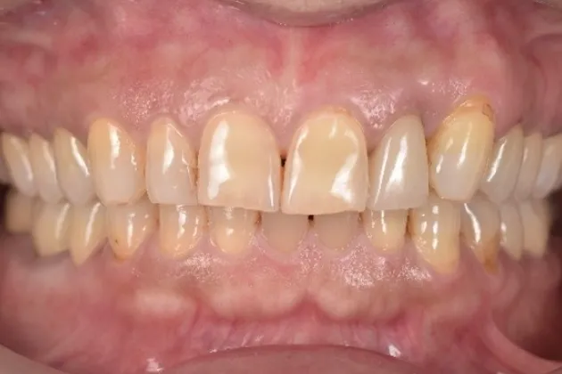
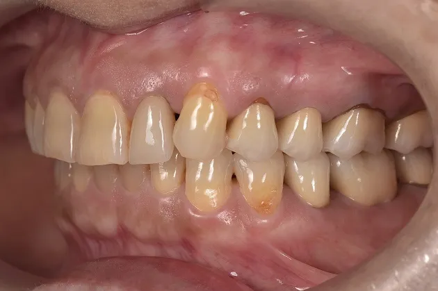
銀歯を白くした際の症例
■術前

■術後

| 主訴 | 銀歯を白くしたい |
|---|---|
| 症状 | なし |
| 治療方針 | 補綴物の入れ替え |
| 治療装置 | オールセラミック15本 ダイレクトボンディング(下顎前歯)6本 |
| 治療費用 | 2,673,000円(税込み) |
| 代表的な副作用 | 仮歯の脱離 セラミックの脱離 |
セレック治療

セレックは、コンピューターでセラミックインレーやラミネートベニアを作製するマシンです。歯科技工所に依頼する必要がないため、最短で治療当日にセラミックを装着できます。
また、治療のタイムラグがなくなるので、歯を削った直後に細菌が象牙質に侵入するなどのトラブルを防ぐことができます。
自費治療ではありますが、オールセラミックからラミネートベニアまで、歯科技工所に依頼する場合に比べてコストが安くなるというメリットもあります。
ただし、デメリットとしては技工士の技術を介していないので、歯の微妙は色味を再現することは不得意です。色味にこだわる場合は、技工士に依頼することになります。
セラミック矯正の
セカンドオピニオンについて

「過去にセラミック矯正をしたけれど、仕上がりに納得がいかない…」 このような方が、当院に再矯正を依頼する事例が増えています。 矯正は、医師に矯正と治療の両方の知識がないと成功しません。矯正の失敗は、医師の知識と経験不足によるところが大きいのです。当院では、院長自身が矯正に強いこだわりを持っています。 再矯正を行う場合は、まず歯のプロファイル(横顔)を入念に検査し、正しく矯正できていない部分を確認します。その上で、再矯正のプログラムをご提案させていただきます。
料金
| ポーセレン ラミネートべニア | 110,000円~143,000円 |
|---|---|
| オールセラミック クラウン | 143,000円~165,000円 |
| ジルコニアクラウン | 165,000円 |
| ゴールドクラウン | 77,000円 |
| 硬質レジン前装冠 | 33,000円 |
| セラミックインレー 複雑形 | 77,000円 |
| セラミックインレー 単純形 | 66,000円 |
| ゴールドインレー 複雑形態 | 55,000円 |
| ゴールドインレー 単純形態 | 44,000円 |
| ダイレクトボンディング 単純前歯 | 22,000円 |
| ダイレクトボンディング 複雑前歯 | 33,000円 |
| 仮歯 1歯 | 2,200円 |
| プロビジョナル 1歯 | 11,000円 |
| ファイバーコア | 11,000円 |
| ゴールドコア | 11,000円 |
| フルマウス加算 | +110,000円 |
| ナイトガード フル | 22,000円 |
| ナイトガード ミニ | 11,000円 |
| 調整 | 1,100円~2,200円 |
※すべて税込みの料金です











